Κρήτη: Χειρουργοί έβγαλαν βίδα από πνεύμονα κοριτσιού

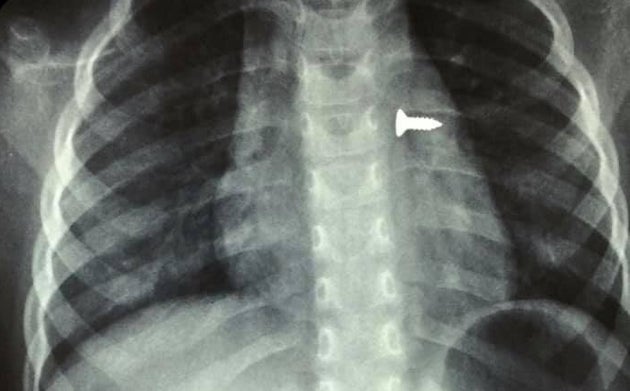
Φωτογραφίες από περιστατικό αφαίρεσης βίδας από το αριστερό βρογχικό δέντρο τρίχρονου κοριτσιού ανέβασε στο Facebook ο αναπληρωτής καθηγητής ΩΡΛ της Ιατρικής Σχολής Κρήτης και Διευθυντής της Ωτορινολαρυγγολογικής Κλινικής του Πανεπιστημιακού Νοσοκομείου Ηρακλείου, Μανώλης Προκοπάκης.
Όπως έγραψε σχετικά στην ανάρτησή του την Τρίτη, «πολύ επείγον χειρουργείο! Πριν από λίγο. Αφαίρεση βίδας από αριστερό βρογχικό δέντρο τρίχρονου κοριτσιού. Πολύ επικίνδυνο... ».









